Apiñamiento
Diastema (sobra espacio)
Erupción ectópica
Mordida abierta
Mordida cruzada anterior
Protusión superior
Sobremordida anterior
Dientes amarillos
Diente oscuro
Recesiones
Sangrado encías
Sarro
Ausencia de un diente
Ausencia de varios dientes
Apiñamiento
El apiñamiento dental es la situación en la que los dientes se encuentran amontonados debido generalmente a una falta de espacio del hueso en que se ubican o a un tamaño de dientes mayor de lo normal.
¿Cómo se corrige el apiñamiento?
El tratamiento del apiñamiento es fundamentalmente ortodóncico. Existen diferentes opciones para corregirlo, por ello, es importante que el odontólogo estudie su caso para ofrecerle el tratamiento más adecuado.
Diastema (sobra espacio)
Diastema es el espacio entre los dientes. Si queremos corregirlos, hay diferentes formas de conseguirlo:
Erupción ectópica
Se conoce con el nombre de erupción ectópica, a la erupción de un diente en un lugar lejano a su correcta posición. Puede presentarse tanto en el maxilar superior como inferior, y en una variedad distinta de dientes, aunque es más frecuente en los primeros molares superiores y caninos superiores.
Corrección mediante ortodoncia
Este tipo de problema se corrige principalmente mediante un tratamiento de ortodoncia. Para ello, lo importante es que siempre antes de tomar una decisión irreversible, se realice un buen diagnóstico personalizado para cada paciente que ayude a elegir el procedimiento más acertado y conservador posible.
Mordida abierta
La mordida abierta es una alteración facial que se define por la imposibilidad de cerrar los dientes anteriores o posteriores. Se encuentra dentro de las maloclusiones dentales más comunes entre la población, y además de tener un impacto negativo en la estética de la sonrisa, genera una serie de consecuencias para la salud bucodental, tales como alteraciones en el habla, trastornos en la articulación temporomandibular (ATM), problemas respiratorios o dificultad para comer y masticar.
¿Cómo resolver la mordida abierta?
Es muy importante entender que no será igual tratar una mordida abierta con un paciente en crecimiento, que en casos donde el crecimiento ha finalizado por completo. En ambos casos, nos enfrentaremos a tratamientos complejos de solucionar, incluso en casos muy extremos llegamos a tratar de forma quirúrgica.
Mordida cruzada anterior
La mordida cruzada anterior es la forma en la que quedan los dientes de ambas arcadas (superior e inferior) al morder cuando los dientes de la arcada superior cierran por dentro de los de la arcada inferior, es decir, la arcada superior es más estrecha que la inferior. Las mordidas cruzadas pueden tener distintos orígenes:
El tratamiento de esta maloclusión dependerá de la edad del paciente. En edades tempranas se puede solucionar mediante ortodoncia, pero en los adultos en muchas ocasiones será necesario recurrir a la cirugía.
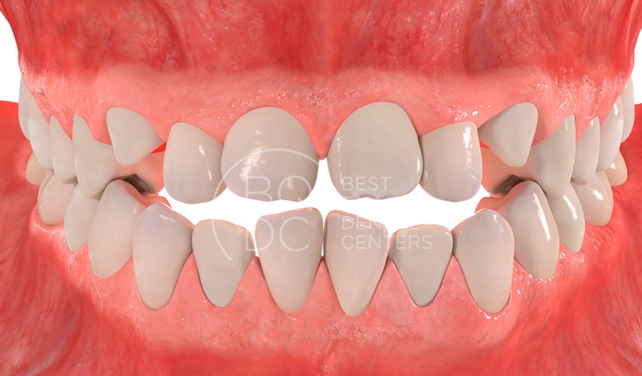
Protusión superior
Cuando los dientes incisivos superiores encajan muy por delante de los dientes inferiores, los ortodoncistas hablan de que se trata de un paciente con una maloclusión de clase II o con protrusión dental. Comúnmente, se conoce como “dientes de conejo” o dientes salidos.
Las personas con protusión dental no pueden cerrar bien la boca porque sus labios no consiguen cubrir los incisivos. Los incisivos quedan hacia afuera y se proyectan hacia abajo, dando lugar a la sobremordida.
¿Cómo se corrige?
Este problema puede corregirse mediante un tratamiento de ortodoncia cuando aún no ha concluido el desarrollo del maxilar y mandibular. En adultos, en ocasiones será necesario recurrir a la cirugía.
Sobremordida anterior
Con el término sobremordida, expresamos el grado de cobertura vertical que los incisivos superiores realizan sobre los inferiores, siendo la normal que en dentición adulta el incisivo superior cubra un tercio de la corona del inferior.
¿Cómo se corrige?
El papel del ortodoncista es clave para poder realizar un diagnóstico temprano y llevar a cabo una prevención y un tratamiento de este o cualquier otro tipo de maloclusión en el momento adecuado y así conseguir una buena salud oral en el futuro del niño. En edades más avanzadas, en ocasiones será necesario recurrir a la cirugía.
Dientes amarillos
Normalmente el color amarillento en los dientes se debe a tinciones externas provocadas por la acumulación en la superficie del diente de productos como el té, en especial el té rojo, el café o el tabaco. Son un tipo de tinción fácil de eliminar.
¿Cómo eliminar el tono amarillento?
Para evitar que se produzcan las tinciones externas, debemos regular el consumo de bebidas como el café o el té y evitar el tabaco, ya que no solamente produce las manchas, sino que puede provocar cáncer oral. Si los dientes ya tienen este color, lo mejor es realizar un blanqueamiento dental.
Diente oscuro
Cuando un diente se oscurece, suele ser como consecuencia de una tinción interna. Este tipo de tinciones son producidas por necrosis, destrucción del tejido en el interior del canal del diente. La necrosis aparece cuando existen infecciones y el diente pierde su vitalidad. Ese proceso hace que el diente se vaya volviendo grisáceo.
¿Cómo corregirlo?
Para tratar la tinción interna se debe aplicar el tratamiento de la endodoncia, extirpando parcial o totalmente la pulpa dental para rellenar posteriormente el espacio dental con productos químicos y devolverle a la pieza su funcionalidad y su color natural..
Recesiones
La retracción de encías o recesión gingival es uno de los problemas más comunes en salud dental. Supone una pérdida de encía que provoca la sensación de que los dientes son más largos, impactando en la estética y la salud de la sonrisa, al quedar la raíz del diente más expuesta.
¿Cuál es el mejor tratamiento?
El microinjerto de encía suele ser el tratamiento más habitual. Para llevarlo a cabo, se toma tejido del paladar mediante una mínima incisión y se cubre la encía. No obstante, en el caso de tener encías retraídas, lo mejor es acudir a su clínica dental de confianza. Su dentista le hará un diagnóstico personalizado y le recomendará el mejor tratamiento para reparar la encía y prevenir daños mayores.
Sangrado encías
El sangrado continuo de las encías de forma esporádica o durante la higiene dental suele ser una señal de alarma, ya que es un claro síntoma de una enfermedad periodontal.
Este sangrado junto a las molestias al cepillarse o la retracción de encías (una mayor exposición de raíces dentales que habían estado tras la masa blanda de la encía), la aparición de espacios interdentales que no estaban previamente así como la movilidad o el desplazamiento de dientes nos indican que estamos en diferentes estadios de una enfermedad periodontal.
Si te sangran las encías, pide cita cuanto antes en la clínica dental.
Sarro
El sarro se produce por la acumulación de placa bacteriana en nuestros dientes. Básicamente cada vez que ingerimos alimentos se depositan restos y bacterias en nuestra boca. Esta placa bacteriana se va acumulando en nuestros dientes, y en el momento que se forma y adhiere a nuestros dientes, la cal y la saliva la recubrirán, una vez esto sucede es cuando se genera el sarro.
En los primeros momentos el sarro tiene una coloración blanquecina, y ya desde ese momento es imposible retirarlo mediante un cepillado en casa. Además, tiene una consistencia pegajosa, y por tanto su incremento es cada vez mayor y va cambiando su color a cada vez más oscuro.
Para mantener una boca libre de sarro, es importante realizarse limpiezas bucales profesionales 2 veces al año.
Ausencia de un diente
Los implantes dentales son una de las mejores opciones de tratamiento para reemplazar los dientes perdidos. Tanto es así que el desarrollo y uso de los implantes se considera uno de los mayores avances de la Odontología en los últimos 40 años.
El implante dental ejerce de raíz artificial que se coloca en los huesos maxilares, donde funciona como base de la prótesis o corona, que es la parte visible y tiene una estética muy similar a la de los dientes naturales.
En el caso de que se dé la ausencia de un único diente, un implante unitario es la mejor solución.
Ausencia de varios dientes
En el caso de que existan varios dientes ausentes, la solución más estable es la colocación de un puente sobre implantes dentales.
Este tipo de puente consiste en la unión de, como mínimo, 3 coronas formando una única pieza, que se coloca en la boca fijándolo a implantes dentales, que se han colocado previamente.
No debemos pensar que necesitamos un implante por cada diente perdido. En las situaciones en las que tengamos ausencia de tres dientes se pueden colocar 2 implantes y rehabilitar con un puente sobre implantes. Cada caso deberá ser analizado por el implantólogo, que planteará la mejor solución adaptada al paciente.