Sonrisas

Lesiones de mancha blanca

Las manchas blancas son lesiones que se presentan debido a un proceso de desmineralización del esmalte, donde disminuye el contenido mineral creando una superficie dental más porosa.

Causas

Estas manchas blancas pueden aparecer por varias causas:

  • Caries
  • Defectos de estructura: Como podría ser el caso de la amelogénesis imperfecta, fluorosis, MIH (hipomineralización incisivo-molar), hipocalcificación localizada, resultado de un trauma.

Las lesiones de mancha blanca, en gran parte, son de origen carioso. La mancha blanca es la primera evidencia clínica de la caries y esto ocurre por el acúmulo de placa bacteriana inducida por una mala higiene oral. Se ha demostrado una relación directa entre la presencia de placa y la posibilidad de presentar estas manchas.

Muchas lesiones que aparecen en la superficie de los dientes, en gran frecuencia, se deben al uso de ortodoncia (brackets), ya que esta aparatología es un reservorio ideal para las bacterias y la placa bacteriana y si no se mantiene una buena higiene hay una mayor probabilidad de que aparezcan.

Lesiones de mancha blanca

Tratamiento

La mejor opción terapéutica es la prevención. Es muy importante mantener una correcta higiene oral diaria y acudir a revisiones periódicas a su clínica dental de confianza. El uso de pastas y enjuagues fluoradas también ayudará a prevenir la desmineralización.

Una vez se presenten las manchas blancas hay varias opciones de tratamiento; desde el más conservador, como la remineralización mediante pastas remineralizantes, al menos conservador, la microabrasión y restauraciones directas o indirectas (restauraciones de composite, carillas…) que implican una gran pérdida de estructura de tejido dental. Esta última opción de tratamiento estaría indicada para los casos que no tienen buena respuesta con tratamientos más conservadores.

Hay otras alternativas de tratamiento, como es el blanqueamiento, que en muchos casos se consiguen enmascarar estas lesiones disminuyendo el contraste que existe entre la lesión y el esmalte sano y no daña el tejido dental.

Por último, tendríamos el tratamiento mediante infiltración de resina (ICON). Se trata de un procedimiento innovador, mínimamente invasivo y muy estético. Consiste en una resina capaz de infiltrar las lesiones a través del tejido poroso y detener el proceso carioso, mejorando el aspecto estético de las lesiones.

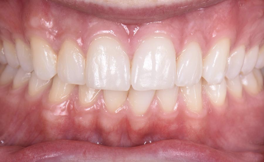
Presentación de un caso

Se presenta un caso clínico de un paciente varón, de 19 años de edad, sin antecedentes médicos de interés, que acude a la clínica porque quiere mejorar el aspecto estético de las manchas blancas que presenta en los incisivos centrales .

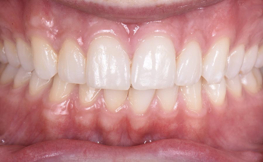
Realizamos un diagnostico e indicamos hacer un blanqueamiento combinado en consulta y en casa para intentar enmascarar las manchas blancas.

Lesiones de mancha blanca

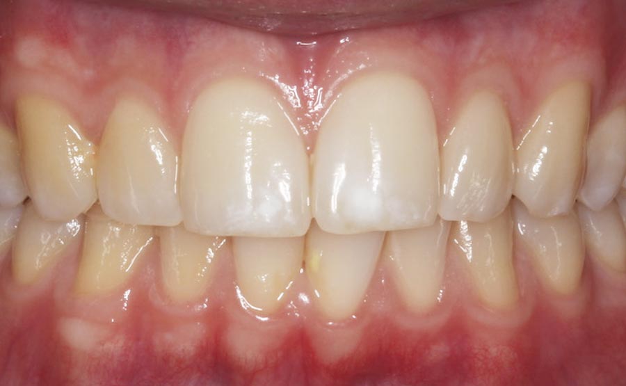
Tras dos semanas de tratamiento de blanqueamiento conseguimos mejorar el color de los dientes, pero no ocultar las manchas (Fig.3); por ello, propusimos realizar una infiltración mediante resina (ICON) con el cual conseguimos unos resultados estéticos óptimos enmascarando por completo las manchas blancas sin dañar en absoluto la superficie dental.

Lesiones de mancha blanca

Post blanqueamiento combinado

Lesiones de mancha blanca

Inmediatamente después del tratamiento con ICON

Recesiones gingivales caso clínico despues
Recesiones gingivales  caso clinico antes

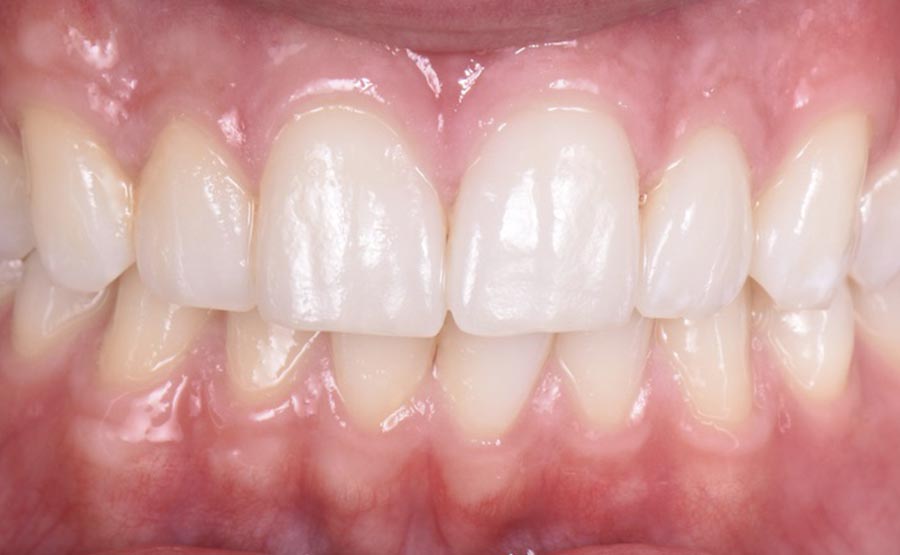
Resultado final tras el tratamiento.