Sonrisas

Técnica Pinhole: Una Revolución en el Tratamiento de la Recesión Gingival

La recesión gingival es un problema clínico común que afecta tanto la salud oral como la estética de los pacientes. Se caracteriza por la exposición progresiva de la superficie radicular debido al desplazamiento apical del margen gingival. Esta condición puede derivar en sensibilidad dental, aumento del riesgo de caries radiculares y alteraciones estéticas significativas. Tradicionalmente, el manejo de la recesión gingival se ha basado en técnicas quirúrgicas como los injertos de tejido conectivo, que aunque efectivos, a menudo se asocian con incomodidad postoperatoria y largos tiempos de recuperación.

La Técnica Pinhole Surgical Technique (PST), desarrollada por el Dr. John Chao, representa un enfoque innovador y mínimamente invasivo para el tratamiento de la recesión gingival. Este artículo explora los fundamentos, ventajas y aplicación clínica de esta técnica revolucionaria.

La Recesión Gingival: Un Problema Generalizado

La recesión gingival puede originarse por diversas causas, incluyendo cepillado agresivo, periodontitis, trauma oclusal, predisposición genética, y factores anatómicos como inserciones musculares altas o frenillos prominentes. Independientemente de su etiología, sus consecuencias incluyen sensibilidad dentaria, mayor vulnerabilidad a caries radiculares y una preocupación creciente por la estética dental, especialmente en pacientes con una alta demanda estética.

Técnica Pinhole: ¿En Qué Consiste?

La Técnica Pinhole es un procedimiento quirúrgico mínimamente invasivo diseñado para tratar la recesión gingival sin la necesidad de injertos ni suturas. Utiliza una pequeña incisión o "orificio" en la mucosa gingival, a través del cual el tejido gingival se reposiciona hacia una posición más coronal con el uso de instrumentos especialmente diseñados.

El procedimiento se realiza bajo anestesia local y sigue los siguientes pasos:

  1. 1. Creación del orificio: Se realiza una pequeña incisión en la mucosa gingival por encima del área afectada.
  2. 2. Desplazamiento del tejido: Utilizando herramientas finas y anguladas, se libera el tejido gingival desde su posición apical.
  3. 3. Reposicionamiento: El tejido liberado se desplaza hacia una posición más coronal cubriendo la superficie radicular expuesta.
  4. 4. Estabilización: Se colocan membranas colagenadas para promover la cicatrización y estabilizar el tejido reposicionado.

Indicaciones y Selección de Pacientes

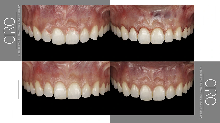
Caso Clínico

La Técnica Pinhole es ideal para pacientes con recesión gingival de leve a moderada que mantengan una buena salud oral general. Entre las principales indicaciones se encuentran:

  • Exposición radicular asociada a recesión gingival.
  • Pacientes con alta demanda estética.
  • Pacientes que prefieren un procedimiento menos invasivo.

No obstante, hay limitaciones en casos de recesión avanzada con pérdida significativa de inserción periodontal o en pacientes con enfermedades sistémicas que afecten la cicatrización.

Beneficios Clínicos

La Técnica Pinhole presenta múltiples ventajas tanto para los pacientes como para los clínicos:

  • Mínima invasividad: El procedimiento no requiere injertos ni suturas, lo que minimiza el trauma quirúrgico.
  • Recuperación rápida: Los pacientes experimentan menos molestias postoperatorias y pueden retomar sus actividades cotidianas en menor tiempo.
  • Resultados inmediatos: El reposicionamiento del tejido gingival es visible de inmediato, lo que mejora la satisfacción del paciente.
  • Mejor estética: La integración del tejido reposicionado proporciona un aspecto natural y armonioso.

Comparación con Técnicas Tradicionales

La técnica de injerto de tejido conectivo sigue siendo el estándar de oro en muchos casos. Sin embargo, la Técnica Pinhole supera algunas limitaciones de los métodos tradicionales:

  • Tiempo quirúrgico: La Técnica Pinhole suele ser más rápida, ya que no requiere la obtención de un injerto palatino.
  • Comodidad del paciente: Al eliminar la necesidad de una segunda zona quirúrgica, el dolor postoperatorio se reduce considerablemente.
  • Resultados estéticos: La ausencia de cicatrices y el reposicionamiento inmediato del tejido mejoran los resultados visibles.

En estudios clínicos y práctica diaria, la Técnica Pinhole ha demostrado ser altamente efectiva en la cobertura radicular y la restauración de una apariencia gingival saludable. Pacientes tratados con esta técnica han reportado altos niveles de satisfacción debido a la reducción del dolor y la mejora estética inmediata.

Imágenes de casos antes y después (con consentimiento informado) pueden ilustrar la eficacia del procedimiento, mostrando un aumento significativo en la cobertura radicular y la integración estética del tejido.

Caso Clínico
Caso Clínico

La Técnica Pinhole representa un avance significativo en el tratamiento de la recesión gingival, ofreciendo a los pacientes un procedimiento más cómodo, rápido y estéticamente satisfactorio. Aunque es una opción prometedora, su éxito depende de una selección adecuada de pacientes y del dominio técnico por parte del clínico.

Se requieren más estudios longitudinales para validar su eficacia a largo plazo y ampliar su aplicación en casos más complejos. Sin embargo, su incorporación en la práctica clínica ya está transformando el manejo de la recesión gingival, marcando un nuevo estándar en la odontología moderna.