Sonrisas

Carillas Dentales y Estética: Tratamiento para una Sonrisa Perfecta

Las carillas dentales son una solución estética popular y eficaz para transformar la sonrisa. Estas finas láminas, diseñadas a medida, se adhieren a la superficie frontal de los dientes para mejorar su forma, color y alineación, ofreciendo resultados naturales y duraderos.

¿Qué son las carillas dentales?

Las carillas dentales son cubiertas delgadas hechas de porcelana o resina compuesta que se colocan sobre los dientes visibles. Están diseñadas para corregir problemas estéticos como:

  • Dientes manchados o decolorados.
  • Dientes desgastados, astillados o fracturados.
  • Espacios entre los dientes (diastemas).
  • Dientes desalineados o de forma irregular.

Tipos de carillas dentales

Existen dos tipos principales de carillas, según el material utilizado:

1. Carillas de porcelana

  • Material duradero y resistente a manchas.
  • Reproducen la translucidez del esmalte dental, ofreciendo un aspecto natural.
  • Tienen una vida útil más larga, generalmente entre 10 y 15 años con buen cuidado.

2. Carillas de resina compuesta

  • Requieren menos preparación del diente.
  • Aunque su duración es menor (5 a 7 años), son más fáciles de reparar.

Proceso de colocación de las carillas

  • En el caso de carillas de porcelana, se realiza un desgaste mínimo del esmalte dental para que las carillas se ajusten correctamente.
  • En el caso de las carillas de resina, el desgaste puede ser innecesario o muy leve.
  • Se toman moldes precisos para la fabricación de las carillas.
  • Las carillas se prueban para garantizar ajuste y color adecuados.
  • Se adhieren al diente mediante un cemento dental especial y luz ultravioleta para fijarlas permanentemente.
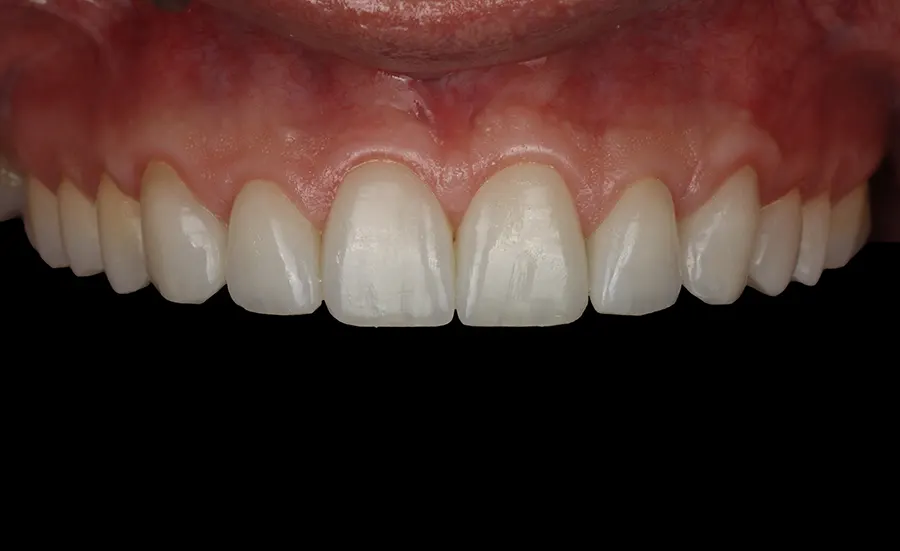
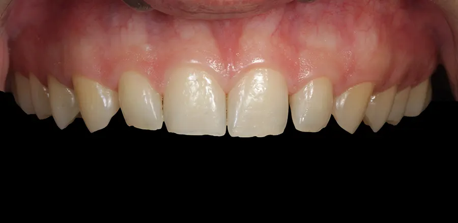
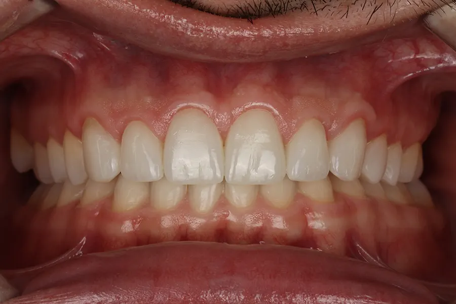
Caso Clínico de Carillas Dentales
Caso Clínico de Carillas Dentales
Caso Clínico de Carillas Dentales
Caso Clínico de Carillas Dentales
Caso Clínico de Carillas Dentales
Caso Clínico de Carillas Dentales

Ventajas de las carillas dentales

  1. 1. Estética inmediata: Transforman la sonrisa en poco tiempo.
  2. 2. Durabilidad: Especialmente las de porcelana, son resistentes al desgaste.
  3. 3. Versatilidad: Corrigen múltiples problemas estéticos.
  4. 4. Mantenimiento sencillo: Requieren una higiene dental básica y visitas regulares al dentista.
  5. 5. Resultados personalizados: Cada carilla se diseña para adaptarse a las necesidades y preferencias del paciente.

Cuidados después del tratamiento

Para garantizar la durabilidad y el buen estado de las carillas, es importante:

  • Mantener una higiene oral adecuada: cepillado dos veces al día y uso de hilo dental.
  • Evitar morder objetos duros (huesos, uñas, etc.).
  • Limitar el consumo de alimentos y bebidas que puedan manchar (café, vino tinto) en el caso de carillas de resina.
  • Acudir a revisiones periódicas para detectar cualquier desgaste o daño.

Consideraciones antes del tratamiento

  • Salud bucal previa: Los dientes y encías deben estar sanos antes de colocar las carillas.
  • No son reversibles: En muchos casos, el desgaste del esmalte es permanente.

¿Quiénes son candidatos ideales para las carillas?

Los candidatos ideales son personas que desean mejorar la apariencia de su sonrisa y tienen una buena salud bucal general. Sin embargo, pacientes con bruxismo (rechinar de dientes) o enfermedades periodontales deben tratar estas condiciones antes de optar por carillas.

Las carillas dentales son una excelente opción para quienes buscan mejorar su sonrisa de manera significativa y duradera. Con materiales avanzados y técnicas personalizadas, ofrecen resultados estéticos naturales que aumentan la confianza y el bienestar.